DR. JORGE RUIZ E.
Periodoncia e Implantología
Con más de una década de trayectoria, soy implantólogo con formación académica en la Universidad Autónoma de Ciudad Juárez, especializado en Periodoncia e Implantología Dental. He dedicado mi carrera a la educación continua, participando en cursos y entrenamientos con especialistas reconocidos a nivel internacional en países como México, Brasil, Italia y Dinamarca.
Mi objetivo es aplicar las técnicas más avanzadas en implantes dentales, cirugía periodontal y rehabilitación oral, para mejorar de forma constante la salud bucal, la satisfacción y la calidad de vida de mis pacientes.
Estudios y certificaciones del implantólogo
- Cedula profesional: 7629278
- Cédula especialidad 87654321
- Especialista en Cirugía Microscopica Periodontal e Implantologica - Escuela de Medicina y Ciencias de la salud TecSalud.
- Manejo de tejidos Blandos alrededor de dientes e implantes - Zucchelli Institute, Bolonia Italia
- Reconstrucción Periodontal y Cirugía Plastica en la zona estética - Zuchelli Institute, Bolonia Italia
- Regeneración Periodontal alrededor de Dientes y aumento de tejidos blandos alrededor de implantes - Zuchelli Institute, Bolonia Italia
- Fellowship Implantología Avanzada - M de la Rosa Educación continua, Mty N.L.
- Cirugías Avanzadas: Injertos óseos con énfasis en elevación de seno maxilar - ILAPEO, Curitiba Brasil.
SERVICIOS
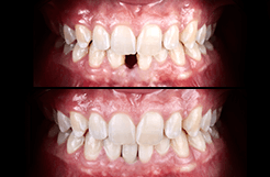
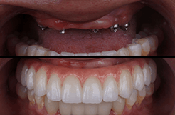
- Implantes dentales
- Diagnóstico Dental
- Diseño de sonrisa
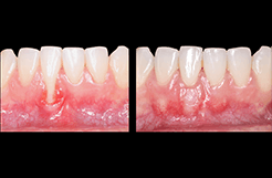
- Enfermedades Periodontales (sangrado de encías, mal aliento, movilidad de dientes)
- Medicina Bucal
- Cirugía Plastica Periodontal
- Regeneración ósea
- Odontología General
- Limpiezas
- Endodoncia
- Coronas
- Extracciones
OPINIONES DE PACIENTES
Excelente periodoncista, profesional, explica sus tratamientos y diagnóstico con paciencia. Altamente recomendado
Dr. Ruiz is extremely knowledgeable and takes the time to explain everything in detail, making sure I fully understand each step of the process. He is patient, compassionate, and truly goes above and beyond to ensure the best results. His staff is also amazing, friendly, professional, and attentive. I highly recommend Dr. Ruiz to anyone in need of periodontal care. A top-notch experience all around!
Excelente periodoncista, profesional, explica sus tratamientos y diagnóstico con paciencia. Altamente recomendado
Dr. Ruiz is extremely knowledgeable and takes the time to explain everything in detail, making sure I fully understand each step of the process. He is patient, compassionate, and truly goes above and beyond to ensure the best results. His staff is also amazing, friendly, professional, and attentive. I highly recommend Dr. Ruiz to anyone in need of periodontal care. A top-notch experience all around!
CONTACTA AL IMPLANTÓLOGO
Horarios
Lunes a Viernes9:00 am a 5:30 pm
Sábado
9:00 am a 2:00 pm
Teléfonos
Citas 656 685 2099WhatsApp 656 773 3990
Dirección
Avenida de las Americas 506, Esquina calle Texcoco, Col. Las margaritas, CP 32310, Ciudad Juárez, Chih.
Agenda una cita